Katherine Rodgers, PA-C
I remember growing up listening to songs of the late ‘60s and early ‘70s, the songs my mother would sing as she cleaned the kitchen or my father would sing as he drove me to soccer practice. I never knew how relevant some of those songs would one day be for me.
One song in particular, Jimmy Ruffin’s most famous, comes instantly to mind. I, like Jimmy, used to wonder: “What Becomes of the Brokenhearted?”
As medical professionals, we’ve learned the answer time and time again.
We call it stress-induced cardiomyopathy, a temporary or transient heart condition that one experiences generally as a result of intensely stressful situations and an extreme emotional reaction to those situations.
As human beings who know the pain of suffering and loss, however, we call it Broken Heart Syndrome.
How does one cope when, like Jimmy sings, “[e]very day heartaches grow a little stronger”, when one can’t “stand [the] pain much longer”?
Brenda, like many of our patients who’ve lost loved ones, knows first-hand that coping doesn’t always come easy. Brenda is a 64-year-old post-menopausal woman who has very recently and suddenly lost her husband Bob to a heart attack. In the wake of Bob’s passing, Brenda began to feel acute chest pain, shortness of breath, and dizziness. Her physical symptoms coincided with feelings of profound sadness and overwhelming hopelessness as she struggled to trudge forward with her life after 43 years of marriage.

Is it an MI?
Having never experienced such symptoms, she feared that she, like her husband, was having a heart attack. After a quick call to 911, paramedics arrived at her home and found her on the floor, where she’d fainted. She was rushed to the Emergency Department (ED). Doctors performed several tests to determine if she was having a heart attack. They performed an EKG and cardiac enzymes in the ED and she was subsequently admitted to the hospital for further work up that included an echocardiogram (echo), and an imaging test of her coronary arteries.
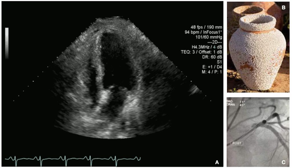
It’s difficult to differentiate Broken Heart Syndrome from a heart attack in the early stages of an occurrence. Symptoms and early test results from an EKG and cardiac blood markers will appear similar. Brenda’s echo and imaging test results, however, proved telling. Echocardiogram captured the ballooning shape of her left ventricle (LV), and the imaging test showed no blockage, the tell-tale sign of a heart attack.

What is Broken Heart Syndrome and, physiologically, how does affect the heart?
Broken Heart Syndrome (stress-induced cardiomyopathy, takotsubo cardiomyopathy (TCM), or apical ballooning syndrome) is a usually short-term heart condition. It occurs as a result of severe emotional or physical stress and mimics the symptoms of a heart attack. The condition also presents as a transient regional systolic and diastolic dysfunction of the LV. This means that a part of the heart, usually the inferior end (apex), enlarges, causing the left ventricle to increase in size. Likewise, this impedes the heart’s ability to pump blood.
Unlike a heart attack, Broken Heart Syndrome can occur in the absence of obstructive coronary artery disease or acute plaque rupture. Unlike the heart arteries of heart attack patients, the arteries of Broken Heart Syndrome patients remain unblocked. In Brenda’s case, even though blood flow in the heart’s arteries decreases. In most cases (75-80%), the wall motion abnormality resembles an octopus trapping pot (from the Japanese word takotsubo). These pots have a narrow neck and rounded lower area that takes on an apical ballooning form.
Look at the LV
As doctors examined Brenda in ED, they, indeed, found that her LV took on this shape while the rest of her heart continued to work properly, even if it contracted more forcefully. However, in cases where a midventricular ballooning form takes shape, in which the mid-LV is hypo- or akinetic, and normal apical and basal contraction occurs (10-20% of patients), there’s a more severe reduction in cardiac output and an occurrence of cardiogenic shock.
In addition to cardiogenic shock, Broken Heart Syndrome may cause certain other complications, to include pulmonary edema, hypotension, arrhythmias, blood clot formation inside the heart (the result of the weakened heart muscle), stroke, heart failure, LV outflow tract obstruction, systemic thromboembolism, intramyocardial hemorrhage and rupture, mitral regurgitation (i.e., the backward flow of blood inside the heart), and, in rare but severe cases, death (5%). Death rates among patients with diabetes appear higher than they do among the general population.
What are its causes?
The disorder mustn’t present in individuals with cardiac diagnoses or a history of cardiac disease, and almost as quickly as it appears does it fade. In fact, Brenda had never had a cardiac diagnosis, and her LV function normalized in just seven days. For most patients, the disorder reverses itself in less than 21 days.
Although uncertain about the disorder’s exact causes, doctors generally deem the link between the brain and heart the culprit, as this link can cause an increase in cerebral blood flow in the hippocampus, brainstem, and basal ganglia and, in stressful situations, an activation of brainstem noradrenergic neurons and stress-related neuropeptides. In fact, a simple surge of stress hormones, like adrenaline, may be all that’s needed to trigger an occurrence of the disorder.
Other culprits may include a short-term spasm or constriction of the heart’s small or large arteries, a reduction in blood flow to the heart’s smaller blood vessels, or a change in the structure of the heart muscle. Other physical occurrences, like acute illness, an asthma attack, major surgery, severe pain (e.g., a broken bone), sepsis, or the exacerbation of chronic obstructive pulmonary disease may also trigger the disorder, as may diabetes (present in 10-25% of patients experiencing the syndrome), the use of certain drugs (e.g., emergency medications used to treat severe allergic reactions or asthma attacks, like short-acting ß2 adrenergic receptor agonist and epinephrine), certain medications used to treat anxiety, nasal decongestants, stimulant drugs (e.g., methamphetamine and cocaine), and cannabis.
Can it reoccur and, if so, can we prevent it?
Recurrences occur 2-4% per year and up to 20% at 10 years, but special heart medicines can help the heart muscle recover without permanent damage. In order to prevent a repeat occurrence for Brenda, doctors prescribed her beta blockers in order to block any damaging effects that her body’s stress hormones could have on her heart. Doctors also recommended that she take steps to manage her emotional distress, as individuals with anxiety or depression face a higher risk of occurrence.
Other treatment options include Angiotensin-converting enzyme (ACE) inhibitors, Angiotensin II receptor blockers (ARBs), diuretics, anticoagulants if there’s a blood clot, oxygen therapy, and also the treatment of illnesses like asthma. Ways to reduce stress and the risk of reoccurrence include physical activity; relaxation exercises, like mindfulness meditation; talk therapy; dietary changes; and a reduction in alcohol intake.
Does Broken Heart Syndrome affect certain groups more than others?
At baseline, Broken Heart Syndrome occurs in about 15 to 30 cases per 100,000 per year in the United States (although milder occurrences remain undocumented, as individuals may refrain from seeking medical attention in such instances). It occurs more commonly in women than it does men and more commonly in older adults than it does younger. Of 1750 patients in the Takotsubo Registry – a consortium of 26 centers in Europe and the United States – who have had the disorder, 89.9% are women, with an average age of 66.4 years old, just about Brenda’s age.
In fact, Brenda is the posterchild of Broken Heart Syndrome – a postmenopausal female who presented with chest pain (>75% of patients), shortness of breath (~50%), dizziness (>25%), and syncopy (5-10%) and who had experienced emotional (or physical) stress. Emotional stress seems to occur more commonly in female patients, whereas physically stress seems to occur more commonly in men.
In sum…
Broken Heart Syndrome is a condition that mimics the symptoms of a heart attack but doesn’t cause long-term damage to the heart. It may cause additional complications but most patients who suffer from an occurrence recovery quickly and don’t require long-term treatment. Luckily for Brenda, she is one of those patients…
References
- Cunningham, Lu, Kang, Steven, MD. (2021). “Takotsubo Cardiomyopathy.” Retrieved from https://www.cedars-sinai.org/health-library/diseases-and-conditions/t/takotsubo-cardiomyopathy.html
- Del Buono, M.G., Keyser-Marcus, L., Medina de Chazal, H., et al. (October 11, 2018). “Stress Cardiomyopathy Diagnosis and Treatment.” JAAC State-of-the-Art Review. J Am Coll Cardiol 2018; 72: 1955-1971. Retrieved from https://www.acc.org/latest-in-cardiology/ten-points-to-remember/2018/10/10/15/39/stress-cardiomyopathy-diagnosis-and-treatment
- Galson, S., Kalarn, Nahapetian, R., S., Skinner, K. Southwest Journal of Pulmonary, Critical Care, and Sleep. (April 1, 2015). “Medical Image of the week: ECHO findings of Apical Ballooning Syndrome.” Image retrieved from https://www.swjpcc.com/imaging/2015/4/1/medical-image-of-the-week-echo-findings-of-apical-ballooning.html
- Her Heart. (2022). “Takotsubo Cardiomyopathy.” Image retrieved from https://herheart.org/heart-conditions/takotsubo-cardiomyopathy/
- Mayo Clinic. (2022). “Broken Heart Syndrome.” Retrieved from https://www.mayoclinic.org/diseases-conditions/broken-heart-syndrome/symptoms-causes/syc-20354617
- Oklahoma Heart Institute. (2022). “Inside the Case: InfraReDx Coronary Imaging Detects Near Max Lipid Core Plaque.” Image retrieved from https://oklahomaheart.com/blog/inside-case-infraredx-coronary-imaging-detects-near-max-lipid-core-plaque
- Prasad, Abhiram, MD, Reeder, Guy S., MD. (March 31, 2022). “Clinical Manifestations and Diagnosis of Stress (Takotsubo) Cardiomyopathy.” Retrieved from https://www.uptodate.com/contents/clinical-manifestations-and-diagnosis-of-stress-takotsubo-cardiomyopathy?search=stress%20induced%20cardiomyopathy§ionRank=1&usage_type=default&anchor=H39231880&source=machineLearning&selectedTitle=1~112&display_rank=1#H39231880
- Ruffin, Jimmy. (1967). “What Becomes of the Brokenhearted?” Video retrieved from https://www.youtube.com/watch?v=cQywZYoGB1g
- Thiesse, Rick. (February 24, 2022). “It’s true: Your heart can break from stress.” Retrieved from https://newsnetwork.mayoclinic.org/discussion/its-true-your-heart-can-break-from-stress/
Learn about cardiac disorders and other relevant parts of your practice! Take our Live or Online courses!